Loreto Frato Interiors Sofa Furniture Furniture Upholstery Sofa

Loreto Frato Interiors Sofa Furniture Furniture Upholstery Sofa

Educational Architecture Henry Bastow Award The Mandeville Centre Loreto Toorak Architect Cultural Architecture Education Architecture Sacred Architecture

Educational Architecture Henry Bastow Award The Mandeville Centre Loreto Toorak Architect Cultural Architecture Education Architecture Sacred Architecture

Isola Di Loreto Italia Bei Posti Paesaggi Loreto

Isola Di Loreto Italia Bei Posti Paesaggi Loreto

Sanctuary Of Loreto The Shrine Of The Holyhouse Of Loreto Marcheregion Italy Italie Vakantie

Sanctuary Of Loreto The Shrine Of The Holyhouse Of Loreto Marcheregion Italy Italie Vakantie

Loreto A Hilltown Comune Of The Italian Province Of Ancona In The Marche Best Of Italy Ancona Italy Most Beautiful Places

Loreto A Hilltown Comune Of The Italian Province Of Ancona In The Marche Best Of Italy Ancona Italy Most Beautiful Places

Loreto Community School Milford School Architecture Milford Architect

Loreto Community School Milford School Architecture Milford Architect

Loreto Community School Milford School Architecture Milford Architect

Pin By Jordi On Flooring In 2021 Foam Wood Flooring Wood Foam Tiles Foam Tiles

Pin By Jordi On Flooring In 2021 Foam Wood Flooring Wood Foam Tiles Foam Tiles

The Loreto Embroideries Inspire With Their Beauty And Their Message Catholic Art Sacred Art Christian Art

The Loreto Embroideries Inspire With Their Beauty And Their Message Catholic Art Sacred Art Christian Art

Fun City Oasis Centre Dubai Level 3 Kids Play Area Indoor Play Areas Indoor Play

Fun City Oasis Centre Dubai Level 3 Kids Play Area Indoor Play Areas Indoor Play

Home Style Warehouse Sale House Styles Big Furniture Warehouse Sales

Home Style Warehouse Sale House Styles Big Furniture Warehouse Sales

Foam Pit At Flip Out Dubai In Al Quoz Best Places In Dubai City Guide Dubai

Foam Pit At Flip Out Dubai In Al Quoz Best Places In Dubai City Guide Dubai

Audit Actiu Seating For Auditoriums And Conference Rooms Auditorium Seating Seat Design Seating

Audit Actiu Seating For Auditoriums And Conference Rooms Auditorium Seating Seat Design Seating

Gallery Of Aluminum Foam In Jindi Sales Office 13 Facade Architecture Facade Design Entrance Design

Gallery Of Aluminum Foam In Jindi Sales Office 13 Facade Architecture Facade Design Entrance Design

The Holy House Of Loreto The House Of Nazareth Loreto Catholic Shrines Places Around The World

The Holy House Of Loreto The House Of Nazareth Loreto Catholic Shrines Places Around The World

Softwood Foam Wood Grain Tiles For Tradeshow Flooring Case Of 25 Playroom Flooring Trade Show Flooring Foam Floor Tiles

Softwood Foam Wood Grain Tiles For Tradeshow Flooring Case Of 25 Playroom Flooring Trade Show Flooring Foam Floor Tiles

Loreto Velvet Upholstered Sofa Gray Gold Baxton Studio Luxury Sofa Design Living Room Sofa Design Luxury Furniture Sofa

Loreto Velvet Upholstered Sofa Gray Gold Baxton Studio Luxury Sofa Design Living Room Sofa Design Luxury Furniture Sofa

Loreto Le Marche Www Tendi Nl Italie Loreto Italy Taj Mahal

Loreto Le Marche Www Tendi Nl Italie Loreto Italy Taj Mahal

Mexico Hotels Loreto Bay Golf Resort Spa At Baja Loreto Mexico Hotels Golf Resort Resort Spa

Mexico Hotels Loreto Bay Golf Resort Spa At Baja Loreto Mexico Hotels Golf Resort Resort Spa

Top 30 Sofa Foam Dealers In Kolkata Justdial

Top 30 Sofa Foam Dealers In Kolkata Justdial

Divine Dog Futon Bed In Castlerock Large 36 In L Want To Know More Click On The Image It Is Amazon Affilia Popular Dog Beds Gel Memory Foam Pet Beds

Divine Dog Futon Bed In Castlerock Large 36 In L Want To Know More Click On The Image It Is Amazon Affilia Popular Dog Beds Gel Memory Foam Pet Beds

14 Lucid By Linenspa Cashmere Covered Firm 5 3lb Ventilated Memory Foam Triple Layer Viscoelas Memory Foam Mattress Reviews Memory Foam Mattress Foam Mattress

14 Lucid By Linenspa Cashmere Covered Firm 5 3lb Ventilated Memory Foam Triple Layer Viscoelas Memory Foam Mattress Reviews Memory Foam Mattress Foam Mattress

Desco Dubai Silicon Oasis Desco Dso Hq Desco Dso Printing In Dso Hq Printing Center Dubai Companies In Dubai

Desco Dubai Silicon Oasis Desco Dso Hq Desco Dso Printing In Dso Hq Printing Center Dubai Companies In Dubai

Folding Bed Mattress Folding Beds Folding Bed Mattress Foam Mattress

Folding Bed Mattress Folding Beds Folding Bed Mattress Foam Mattress

Isola Di Loreto Italy Lake Iseo Iseo Places In Italy

Isola Di Loreto Italy Lake Iseo Iseo Places In Italy

3

3

Weekend Grabs From 2018 Mar 22 To Mar 24 Offer Available At Nesto Center Llc Ras Al Khaimah Banner Ads Design Offer Sale Banner

Weekend Grabs From 2018 Mar 22 To Mar 24 Offer Available At Nesto Center Llc Ras Al Khaimah Banner Ads Design Offer Sale Banner

Sjb Projects Guardian Childcare Centre Espacos De Crianca Parque Infantil Ideias Creches

Sjb Projects Guardian Childcare Centre Espacos De Crianca Parque Infantil Ideias Creches

Marshmallow Furniture Minnie Mouse Kids 2 In 1 Flip Open Foam Sofa Foam Sofa Baby Couch Baby Girl Toys

Marshmallow Furniture Minnie Mouse Kids 2 In 1 Flip Open Foam Sofa Foam Sofa Baby Couch Baby Girl Toys

Holding Cabinets Cp One Irinox Efficiency Irinox Professional

Holding Cabinets Cp One Irinox Efficiency Irinox Professional

Proeco Products 1 2 Foam Jet Fountain Nozzle Sloped Backyard Fountain Residential Pool

Proeco Products 1 2 Foam Jet Fountain Nozzle Sloped Backyard Fountain Residential Pool

Pin By Alusion Stabilized Aluminum F On Alusion Aluminum Foam Facades Facade Aluminum Arch

Pin By Alusion Stabilized Aluminum F On Alusion Aluminum Foam Facades Facade Aluminum Arch

Brown 2 4m Car Trunk Floor Carpet Foam Self Adhesive Non Skid Teak Decking Pad Marine Boat Pontoon Boat Parts Centre Console Boat

Brown 2 4m Car Trunk Floor Carpet Foam Self Adhesive Non Skid Teak Decking Pad Marine Boat Pontoon Boat Parts Centre Console Boat

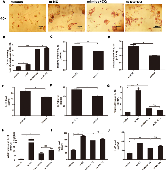
Microrna 761 Modulates Foam Cell Formation And Inflammation Through Autophagy In The Progression Of Atherosclerosis Springerlink

Microrna 761 Modulates Foam Cell Formation And Inflammation Through Autophagy In The Progression Of Atherosclerosis Springerlink

Sorrento Sc 4062 Pc Door Handle Lever Latch On Square Rose Axis Design Polished Chrome Finish In 2020 Door Handles Handle Chrome Finish

Sorrento Sc 4062 Pc Door Handle Lever Latch On Square Rose Axis Design Polished Chrome Finish In 2020 Door Handles Handle Chrome Finish

Foam Board Printing Print Foam Board Signs Squar Pix Foam Board Printing Foam Board Biodegradable Products

Foam Board Printing Print Foam Board Signs Squar Pix Foam Board Printing Foam Board Biodegradable Products

One Priory Square Proctor Matthews Architects Archinect Concept Models Architecture Architecture Model Architecture Concept Drawings

One Priory Square Proctor Matthews Architects Archinect Concept Models Architecture Architecture Model Architecture Concept Drawings

Rio Ampiyacu Loreto Peru

Rio Ampiyacu Loreto Peru

Polyshield Diy Platinum Insulation Best Acoustic Solution To Reduce Heat And Noise 10mm Thickness

Polyshield Diy Platinum Insulation Best Acoustic Solution To Reduce Heat And Noise 10mm Thickness

The Particles Rearrangement Due To Their Brownian Motion Causes An Download Scientific Diagram

The Particles Rearrangement Due To Their Brownian Motion Causes An Download Scientific Diagram

Pin On Euroasia

Pin On Euroasia