Read On For More About The Anatomy Of The Middle Cerebral Artery Middle Cerebral Artery Mca Anatomy Arteries Anatomy Anatomy Diagnostic Medical Sonography

Read On For More About The Anatomy Of The Middle Cerebral Artery Middle Cerebral Artery Mca Anatomy Arteries Anatomy Anatomy Diagnostic Medical Sonography

Cerebral Vascular Territories Radiology Case Radiopaedia Org Radiology Vascular Brain Anatomy

Cerebral Vascular Territories Radiology Case Radiopaedia Org Radiology Vascular Brain Anatomy

Great Site For Neuroanatomy Student Info Medical Science Neurology

Great Site For Neuroanatomy Student Info Medical Science Neurology

Corpus Callosum Rostrum Genu Body Splenium Corpus Callosum Anatomy Corpus

Corpus Callosum Rostrum Genu Body Splenium Corpus Callosum Anatomy Corpus

Vascular Supply Of The Central Nervous System In 2020 Nursing Study Guide Human Body Lesson Brain Science

Vascular Supply Of The Central Nervous System In 2020 Nursing Study Guide Human Body Lesson Brain Science

Caudate Nucleus Caudate Nucleus Internal Capsule Radiology

Caudate Nucleus Caudate Nucleus Internal Capsule Radiology

Caudate Nucleus Caudate Nucleus Internal Capsule Radiology

Segments Of Internal Carotid Artery Internal Carotid Artery Carotid Artery Arteries

Segments Of Internal Carotid Artery Internal Carotid Artery Carotid Artery Arteries

Pin On First People Aborigine Of Australia

Pin On First People Aborigine Of Australia

Cerebral Vascular Territories Radiology Case Radiopaedia Org Radiology Vascular Human Anatomy And Physiology

Cerebral Vascular Territories Radiology Case Radiopaedia Org Radiology Vascular Human Anatomy And Physiology

Explore Game Of Thrones Territory Scotland Castles European Travel Wonderful Places

Explore Game Of Thrones Territory Scotland Castles European Travel Wonderful Places

Lobar Holoprosencephaly Fusion Of The Frontal Horns Of The Lateral Ventricles With Abnormal Genu And Rostrum Of The Corpu Radiology Corpus Callosum Mri Brain

Lobar Holoprosencephaly Fusion Of The Frontal Horns Of The Lateral Ventricles With Abnormal Genu And Rostrum Of The Corpu Radiology Corpus Callosum Mri Brain

Pin On Brain Tumors

Pin On Brain Tumors

Exiting Nerve Roots Spinal Cord Injury Spinal Cord Injury Nursing Spinal Cord Injury Awareness

Exiting Nerve Roots Spinal Cord Injury Spinal Cord Injury Nursing Spinal Cord Injury Awareness

Pin By Alex On Exercise Hand Therapy Exercise Wrist Exercises

Pin By Alex On Exercise Hand Therapy Exercise Wrist Exercises

Jubalandpostagestamps Jubaland Wikipedia Postage Stamps Philately Stamp

Jubalandpostagestamps Jubaland Wikipedia Postage Stamps Philately Stamp

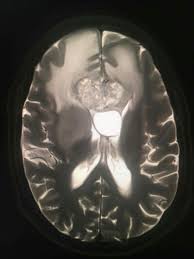
Wilson S Disease Giant Panda Sign Medical Surgical Nursing Radiology Imaging Radiology

Wilson S Disease Giant Panda Sign Medical Surgical Nursing Radiology Imaging Radiology

Pin By David Gabriel On Datsun Datsun

Pin By David Gabriel On Datsun Datsun

Behaviors Of Genuinely Successful People 2 They Love Their Work If You Ask Tim Cook Mark Zuckerberg Or Satya Nad Stamp Personal Loans Loans For Bad Credit

Behaviors Of Genuinely Successful People 2 They Love Their Work If You Ask Tim Cook Mark Zuckerberg Or Satya Nad Stamp Personal Loans Loans For Bad Credit

Banksia Burdettii Burdett S Banksia Is A Species Of Large Shrub Or Small Tree In The Plant Genu Australian Plants Australian Flowers Australian Native Plants

Banksia Burdettii Burdett S Banksia Is A Species Of Large Shrub Or Small Tree In The Plant Genu Australian Plants Australian Flowers Australian Native Plants

Pin By Jason Sun On Medical Pictures Mri Brain Brain Anatomy Brain Images

Pin By Jason Sun On Medical Pictures Mri Brain Brain Anatomy Brain Images

F13 06 9781437702941 Jpg 1074 770 Anatomy Neurology Medical

F13 06 9781437702941 Jpg 1074 770 Anatomy Neurology Medical

Brain Anatomy Mri Coronal Brain Anatomy Free Mri Cross Sectional Anatomy Mri Brain Brain Anatomy Mri

Brain Anatomy Mri Coronal Brain Anatomy Free Mri Cross Sectional Anatomy Mri Brain Brain Anatomy Mri

Insulin Happy Chemical For Sweet People Vintage Shirt T Shirt Shop Vintage Shirts What Is Happiness Vintage Hoodies

Insulin Happy Chemical For Sweet People Vintage Shirt T Shirt Shop Vintage Shirts What Is Happiness Vintage Hoodies

Sagittal Ct Head Corpus Callosum Subarachnoid Cisterns Brain Images Anatomy Interactive Anatomy

Sagittal Ct Head Corpus Callosum Subarachnoid Cisterns Brain Images Anatomy Interactive Anatomy

3

3

Plan Des Badeorts Misdroy Um 1910 Map My Town How To Plan

Plan Des Badeorts Misdroy Um 1910 Map My Town How To Plan

Pin De Irene Morales En Fisioterapia Terapia De La Mano Fisiologia Kinesiologia

Pin De Irene Morales En Fisioterapia Terapia De La Mano Fisiologia Kinesiologia

Insurrection Thurston Bros Official Affiliate Thread Page 131 Leather Jacket Men Style Leather Jacket Men Men S Leather Jacket

Insurrection Thurston Bros Official Affiliate Thread Page 131 Leather Jacket Men Style Leather Jacket Men Men S Leather Jacket

White Medical Disposable Protective Face Masks On A Black Background Black Background Photography Black Backgrounds Face Mask

White Medical Disposable Protective Face Masks On A Black Background Black Background Photography Black Backgrounds Face Mask

Large Black Leather Tote H M Up For Sale A Very Pretty Tote Bag Authentic From H M In Black Color Soft Genu Genuine Leather Totes Leather Tote Pretty Tote Bags

Large Black Leather Tote H M Up For Sale A Very Pretty Tote Bag Authentic From H M In Black Color Soft Genu Genuine Leather Totes Leather Tote Pretty Tote Bags

Pin On Tavitas

Pin On Tavitas

Pin On Articles Etc

Pin On Articles Etc

Pin On Products I Love

Pin On Products I Love

Taaf Arteriovenous Malformation Detection Brain Aneurysm Ct Scan Detection

Taaf Arteriovenous Malformation Detection Brain Aneurysm Ct Scan Detection

Pin On Thoughts

Pin On Thoughts

The Wheelchair Yoga And Movement Digital Game Encourages Fun And Novel Exercises For Children To Compl Exercise For Kids Pediatric Physical Therapy Interactive

The Wheelchair Yoga And Movement Digital Game Encourages Fun And Novel Exercises For Children To Compl Exercise For Kids Pediatric Physical Therapy Interactive

Pin On Articular Stretching For Neural Mobilization

Pin On Articular Stretching For Neural Mobilization

Cute Guest Sign In Wedding Guest Book Unique Wedding Guest Book Book Wall Art

Cute Guest Sign In Wedding Guest Book Unique Wedding Guest Book Book Wall Art

Atletico Madrid Logo Transparent

Atletico Madrid Logo Transparent

Radiology Quiz 36101 Radiopaedia Org Anatomi Ve Fizyoloji Tip Anatomi

Radiology Quiz 36101 Radiopaedia Org Anatomi Ve Fizyoloji Tip Anatomi